鳥類生態学・分類学へのDNA利用を先導する

西海 功(にしうみ いさお)
動物研究部
脊椎動物研究グループ
近年はゲノム生物学や生物多様性が注目され、研究も進んでいますが、DNAの技術を自然史研究の中でどのように利用し、位置づけていくのかはまだまだ模索中といえます。国立科学博物館でも「分子生物多様性研究資料センター」を設置し、標本とDNAをセットで保管していくことで、DNAの研究と分類学とを融合させて効率よく研究を進める体制を整えつつあります。私がこれまでおこなってきた自然史研究の中でDNAを利用した研究の代表例を以下に紹介すると共に、現在進行中の研究プロジェクトについてもご紹介します。
繁殖行動生態学への利用

1.モズの浮気の研究
- 1989年に日本で最初に鳥類生態学にDNA分析を利用した研究を始めた。
- DNA指紋法という方法で親子判定をすることで、モズの婚姻システムを研究した(図1)。
- モズは鳥類に典型的な一夫一妻の婚姻システムをもつが、婚外受精が1割程度あることがわかった。
- これは夫婦で甲斐甲斐しく子育てをする鳥でも、婚外の交尾によって生まれたつがい以外の子が混ざっていることを意味する。
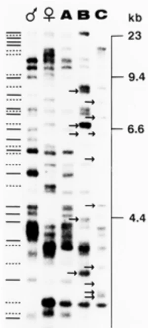
図1. モズのDNA指紋法による親子判定
3羽のヒナABCのうち、Aだけが育ての父親の本当の子供で、BCは本当の子供ではない。
図2. 巣内性比(一巣内のヒナの比)と父親の給餌頻度2. オオヨシキリの息子偏愛の子育ての研究
- 1995年に日本で最初にDNAによる野鳥のヒナの性判定をおこなった。
- 鳥類では少数派である一夫多妻の鳥 ―オオヨシキリ― において、親による子への投資量と性との関係を調べた。というのは、一夫多妻の動物では、一般に優れた雄は多くの子を残すことができるので、優れた雄になるよう息子に偏った投資をすることが予測されていたから。
- 父親は娘が多い場合よりも息子が多い場合に、より頻繁にヒナへの餌運びをおこなうことがわかった(図2)。
- 母親は父親による給餌の手助けが期待できる第一雌(最初に雄とつがった雌)の立場にある場合に、雄を多く産み、3羽中2羽が雄になること、また、第二・第三雌で産卵数が5卵で多い場合には、雌を多く産み、 3羽中2羽が雌になることがわかった。
種の分類学への利用
3.シマセンニュウ上種の系統の研究
- これまで種内多型が知られていなかったウチヤマセンニュウに2タイプあることがわかった(図3)。
- 近縁種のシマセンニュウの2亜種と併せて分子系統を調べると、大陸のシマセンニュウから残りの3集団が最近100万年以内に分かれたことがわかった(図4)。
図3. シマセンニュウ上種
(ウチヤマセンニュウ2タイプとシマセンニュウ2亜種)の分布
図4. シマセンニュウ上種のミトコンドリアDNA分子系統樹4.DNAバーコーディング ― DNAによる種の同定
一つの遺伝子領域の配列を読むことですべての生物の種を同定できるようにしようという国際プロジェクト「DNAバーコーディング」が始まっている。鳥類では2010年までに全世界約1万種のDNA配列を読むことを目指している。私は東北アジア地域での中心となってこのプロジェクトを進めているが、この地域の鳥類の特徴として、同種内でも亜種が違えばDNAが大きく異なる種もいるし、別種でも最近種分化したためにDNA配列がほんの少ししか違わない種もいることがわかってきた(表1)。このプロジェクトでは、証拠標本のあるDNAを読むことで、誤同定を検証しデータの質を高めるだけでなく、形態学的・分類学的研究にもつなげられることを目指している。東アジアの鳥類の分類学に大きな刺激を与えると共に、これからの鳥類分類学の土台となっていくことが期待できる。そのため、研究の大きな柱として国内外の研究機関や博物館と共同でこのプロジェクトを進めている。
表1.東アジアのスズメ目鳥類各種の種間、
亜種間の遺伝的差異北アメリカの鳥類の研究では、種間の遺伝的差異は2%以上で大きく、亜種間の差異は2%未満で小さいことが報告されているが、東アジアの鳥類では、表1に示すとおり亜種間にも関わらず遺伝的差異が大きい種(青色)もいれば、種間でも差異が小さい種(赤色)もいることがわかった。